Blog
Filtrer par
Tous
ade
Afstervend tandvlees
Aften in mond
Amandelstenen
amsterdam dance event
Angst tandarts
Baby tandenborstel
Beste mondwater
Beste tandpasta met fluoride
Beste whitening tandpasta
Biologische tandpasta
Bruine vlekken op tanden
Category_Elektrisch
Category_Flossen
Category_Fluoride/ ingrediënten
Category_Gebitsproblemen
Category_Mondwater
Category_Oral-care tips
Category_Smyle
Category_Tandenpoetsen
Category_Tandpasta
Category_Whitening
De beste elektrische tandenborstel
Dode tand
Droge mond
Duurzame producten
Elektrische tandenborstel kind
Facings tanden
Fluoride
Fluoride Slecht
Fluoride tandpasta
Gebitsproblemen
Gebitsreiniging
Gevoelig tandvlees
Gezond tandvlees
Gezonde tong
Gingivitis
Hoe krijg je wittere tanden
Hoe poets je je tanden
Hoe tanden poetsen
hoe vaak flossen
hoe werkt whitening tandpasta
Hoeveel tanden heeft een mens
Houtskool tandpasta
houtskooltandpasta
Hydroxyapatite
Hydroxyapatite tandpasta
Kiespijn
Kindertandpasta zonder fluoride
Menthol
Moet je je mond spoelen na tandenpoetsen
Mondspoeling
mondwater
mondwater met alcohol
mondwater zonder alcohol
Ontstoken tandvlees
Parodontitis
Pijnlijk tandvlees
Pijnlijke tanden
plastic-free billboard
poetspil
SLS
smyle
Smyle tandpasta tabletten
Sonische Tandenborstel
tab
tabs
Tanden flossen
Tanden polijsten
Tandenborstel
Tandenpoetsen voor of na ontbijt
tandpasta gevoelige tanden
tandpasta houtskool
Tandpasta merken
tandpasta met houtskool voor en nadelen
tandpasta tabletten
tandpasta voor wittere tanden
Tandpasta zonder fluoride
Tandpasta zonder SLS
tandpasta-zonder-microplastics
Tandsteen voorkomen
Tandvlees poetsen
Terugtrekkend tandvlees
toothpaste
toothpaste tablets
toothpaste tabs
Travel & Leisure
Vanaf welke leeftijd elektrisch poetsen
Verstandskies trekken
wash away bilboard
wat is terugtrekkend tandvlees
Wat te doen tegen ontstoken tandvlees
Wat te doen tegen verstandskies pijn
Waterflosser
Whitening
Whitening strips
whitening tandpasta
Witte tong
Zoute Smaak In Mond
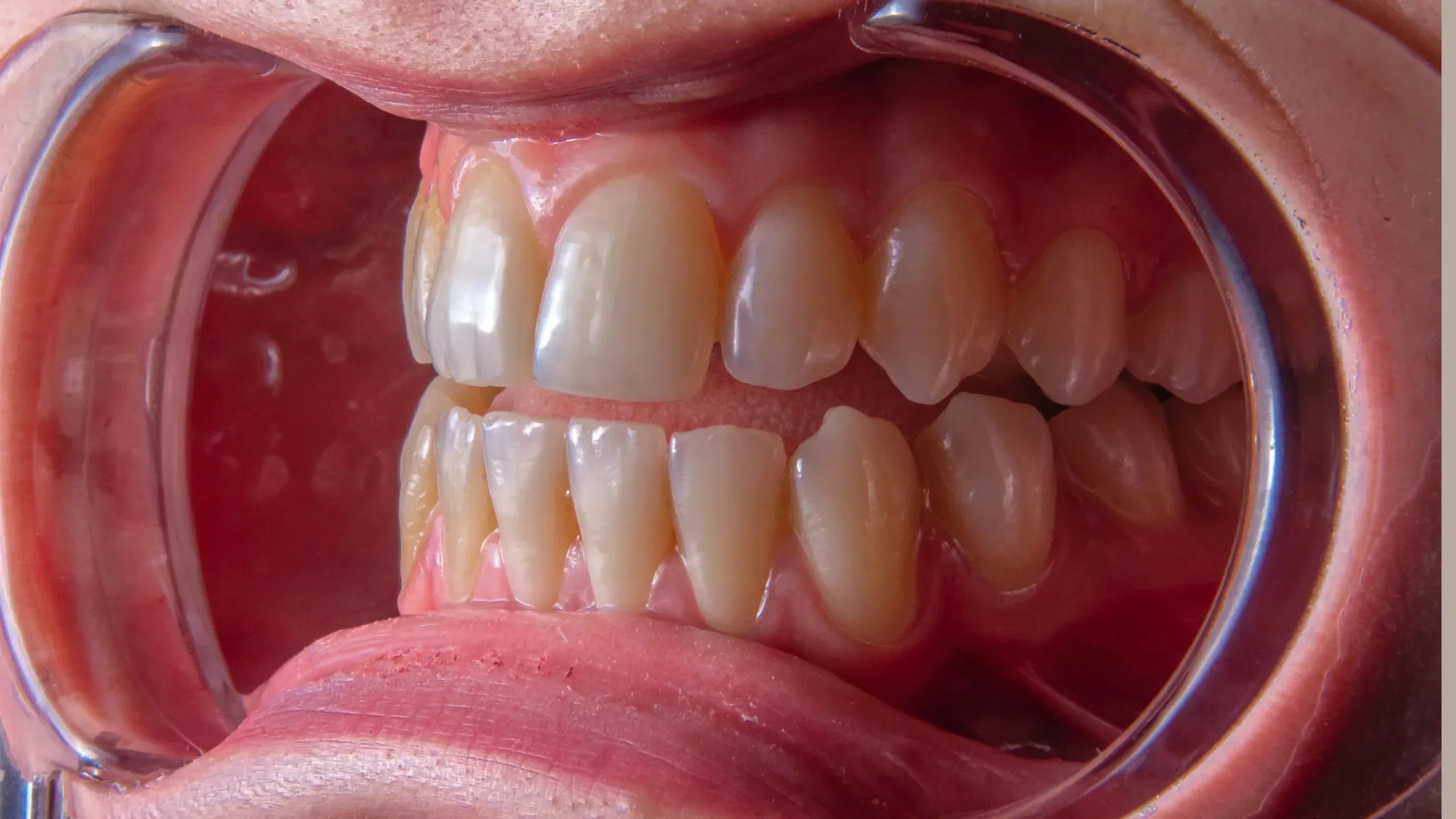
HOW CAN YOU: PREVENT TARTAR
What Is Tartar? Tartar is a hard, grainy deposit that forms on the teeth. It’s essentially hardened plaque—a layer of bacteria and food particles that builds up on the...





